Le 28 avril 2025

Aujourd’hui, je suis allé faire une échographie suite à des fatigues récurrentes et une vague douleur en bas à droite du ventre quand je dors sur le ventre.

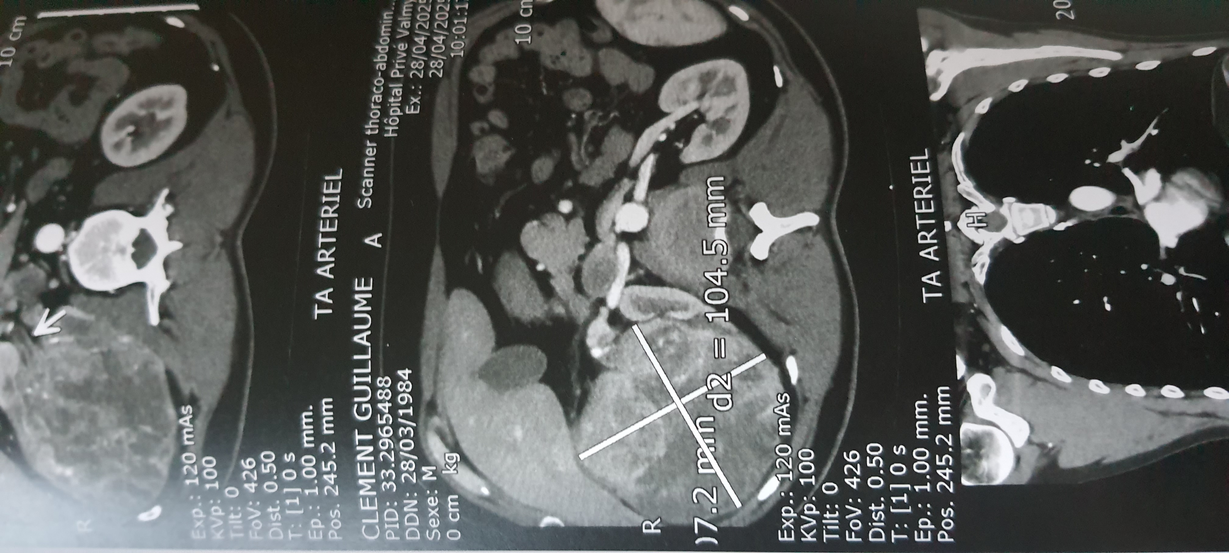
Suite à l’échographie, une masse d’environ 10 cm de diamètre a été détectée au niveau du rein, on m’a donc fait faire un scanner en urgence pour confirmer le diagnostic.

Une fois le scanner réalisé, on m’a dit qu’il faudra très certainement enlever le rein droit et consulter mon médecin traitant pour avoir un rendez-vous avec un urologue en urgence. Je pense que le but était que je comprenne que la situation était grave (pour être sûr que je m’en occupe). On ne m’a pas parlé de cancer explicitement, mais c’est bien de ça qu’on parle.

À gauche on voit le rein droit, qui aurait dû ressembler à l'autre, donc à une noix de cajou et pas à un melon
À gauche on voit le rein droit, qui aurait dû ressembler à l'autre, donc à une noix de cajou et pas à un melon

Pendant le scanner ils ont également vérifié s’il n’y avait pas de masses sur les poumons, et tout avait l’air bon de ce côté (les cancers du rein se propagent généralement à 75% aux poumons et à 20% au cerveau). Le cerveau n’a pas été vérifié, par contre.